Síndrome de Apneas Obstrutivas del Sueño
¿Te despiertas cansado a pesar de haber dormido toda la noche? ¿tu pareja te comenta que roncas de forma aparatosa y con pausas preocupantes?, ¿tienes fracturas de dientes o prótesis de manera continuada o un desgaste dental que no sabes a que se debe? .
Si es así, quizás estés experimentando los síntomas de la apneas del sueño.
¿Qué es la Apnea del Sueño y por qué deberías tomarla en serio?
La apnea del sueño es considerada una auténtica “pandemia silenciosa”. Se trata de un trastorno respiratorio muy frecuente y poco diagnosticado que se caracteriza por la interrupción repetida de la respiración durante el sueño. Estas pausas, que pueden durar desde unos pocos segundos hasta más
de un minuto, provocan una disminución del oxígeno en la sangre y micro-despertares que fragmentan el sueño, impidiendo un descanso reparador.
Aunque roncar puede parecer algo normal para algunas personas, cuando se asocia a pausas respiratorias, jadeos o sensación de ahogo durante la noche, es una señal de alerta importante. La apnea del sueño no es solo un problema de descanso; a largo plazo, puede aumentar el riesgo de desarrollar problemas de salud graves como hipertensión arterial, enfermedades cardíacas, accidentes cerebrovasculares, diabetes tipo 2 y problemas de concentración y memoria.
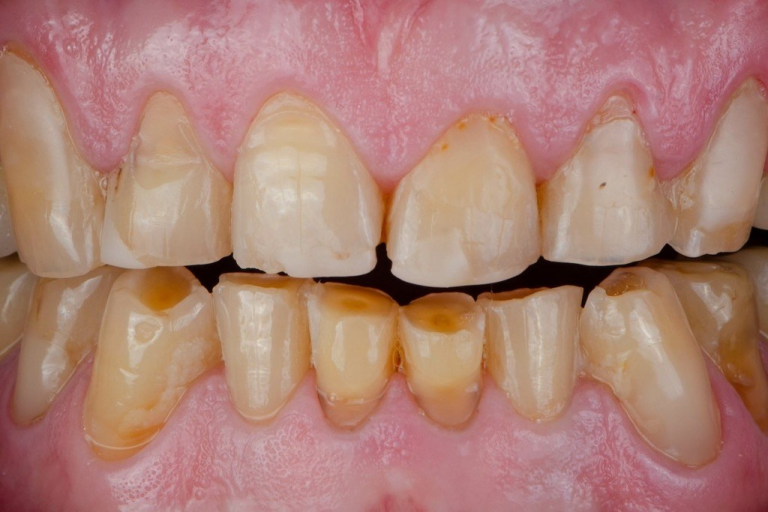
En este mismo sentido, la Apnea del sueño tiene una repercusión directa sobre los dientes.
Clínica Núñez puede ayudarte en este sentido...
Quizás te preguntes qué pueden hacer unos dentistas para ayudarte con un problema respiratorio. En nuestra Clínica muchos años estudiando y formándonos en este sentido, abordando la apnea del sueño desde una perspectiva innovadora, centrándonos en la vía aérea superior. Muchos casos de apnea
obstructiva del sueño (el tipo más común) están relacionados con la anatomía de la boca, la mandíbula y la garganta.
Mediante una evaluación exhaustiva con un estudio ambulatorio, que puede incluir la colaboración con otros especialistas y la revisión de estudios como las Polisomnografías Respiratorias, podemos determinar si un dispositivo de avance mandibular (DAM) podría ser una solución eficaz para tu caso.
Dispositivos de Avance Mandibular (DAM): una solución a medida
Un DAM es un aparato bucal, similar a un protector deportivo o un retenedor de ortodoncia, que se coloca durante la noche. Su función principal es desplazar ligeramente la mandíbula inferior hacia adelante, lo que ayuda a mantener la vía aérea abierta y facilita el paso del aire durante el sueño.
¿Cuáles son los beneficios de un DAM?
● No invasivo: A diferencia de otras opciones de tratamiento, como la CPAP (presión positiva continua en las vías respiratorias), el DAM es un dispositivo oral cómodo y fácil de usar.
● Personalizado: Cada DAM se diseña a medida para asegurar un ajuste perfecto y la máxima eficacia. En Clínica Dental Núñez tomamos impresiones precisas de tu boca para crear un dispositivo que se adapte a tu anatomía trabajando junto a BTI.
● Portátil: Su tamaño reducido lo hace ideal para viajar.
● Silencioso: A diferencia de los ruidosos equipos CPAP, el DAM es completamente silencioso, lo que mejora la calidad del sueño tanto para el paciente como para su pareja.
El proceso en Clínica Dental Núñez: de la evaluación al descanso reparador
Protocolizamos un enfoque para abordar la apnea del sueño en el contexto integral de la salud buco-dental del paciente.
1. Evaluación inicial: Realizamos una historia clínica detallada y una exploración de tu boca y vía aérea superior.
2. Diagnóstico (en colaboración): Si sospechamos de apnea del sueño, te derivaremos a un especialista para que te realice una Polisomnografía Respiratoria. Esta prueba es fundamental para confirmar el diagnóstico y evaluar la gravedad de la apnea.
3. Plan de tratamiento: Una vez confirmado el diagnóstico, y si un DAM es la opción adecuada para ti, tomaremos las medidas necesarias para diseñar y fabricar un dispositivo a medida.
4. Ajuste y seguimiento: Te entregaremos el DAM y te daremos instrucciones detalladas sobre cómo usarlo y mantenerlo. Realizaremos revisiones periódicas para asegurar su eficacia y realizar los ajustes necesarios.
