¡Hablemos de tu encía!

¿Sabías que la mayoría de los problemas graves en los dientes comienzan con una encía inflamada o sangrante?

Las enfermedades de la encía son una de las causas más comunes de pérdida dental en adultos, pero lo más preocupante es que, en muchos casos, pasan desapercibidas en sus primeras etapas.

Enfermedades de la encía Sevilla

¿Qué son las enfermedades de la encía?

Las enfermedades de la encía también conocidas como enfermedades periodontales, son infecciones bacterianas complejas inflamatorias y crónicas (en la mayoría de los casos) que afectan los tejidos que rodean y soportan los dientes.

Las dos formas más comunes son:
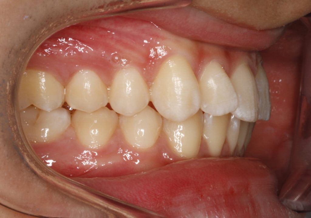
Gingivitis: Es la etapa inicial, caracterizada por encías rojas, inflamadas y que sangran al cepillarse. En esta fase, el daño es reversible con un buen tratamiento.
Periodontitis: Si la gingivitis no se trata a tiempo, evoluciona a periodontitis, una condición más grave donde las encías se retraen, el hueso se daña y los dientes pueden aflojarse o incluso caerse.

Causas de las Enfermedades de la Encía

Las principales causas de las enfermedades de la encía incluyen:
Placa bacteriana: La acumulación de placa es el principal desencadenante de la inflamación.
Mala higiene oral: Cepillarse de manera incorrecta o no usar hilo dental permite que la placa se endurezca y forme sarro.
Factores genéticos: Algunas personas son más propensas a desarrollar problemas en las encías.
Hábitos como el tabaco: Fumar afecta la capacidad de las encías para repararse, acelerando el daño.
Estrés, mala alimentación y ciertos medicamentos también pueden influir en la salud de las encías.

Síntomas mas comunes

¿Cómo saber si padeces una enfermedad de la encía? Los síntomas más comunes incluyen:
● Encías rojas e inflamadas.
● Sangrado al cepillarse.
● Mal aliento persistente.
● Encías retraídas o separación de los dientes.
● Sensibilidad al frío o al calor.

Tratamiento de Enfermedades de la Encía

En Clínica Dental Núñez, diseñamos un plan personalizado para tratar las enfermedades de la encía, que puede incluir:
1. Limpieza profesional
Una limpieza profunda elimina la placa y el sarro acumulado en la línea de las encías, ayudando a reducir la inflamación.
2. Raspado y alisado Radicular
Es un procedimiento más profundo para eliminar bacterias y alisar la superficie de las raíces, facilitando la re-adhesión de las encías al diente.
3. Tratamientos con láser
La tecnología láser permite eliminar bacterias de forma precisa y con menos molestias para el paciente.
4. Cirugía periodontal
En casos avanzados, se puede requerir cirugía para regenerar el tejido óseo y reducir las bolsas periodontales.

Prevención: la clave para unas encías saludables

En Clínica Dental Núñez creemos que la prevención es la mejor herramienta contra las enfermedades de la encía. Recomendamos revisiones periódicas, una correcta técnica de cepillado y el uso diario de hilo dental. Además, nuestros especialistas te guiarán en hábitos saludables para mantener tus encías fuertes y sanas.

Scroll al inicio