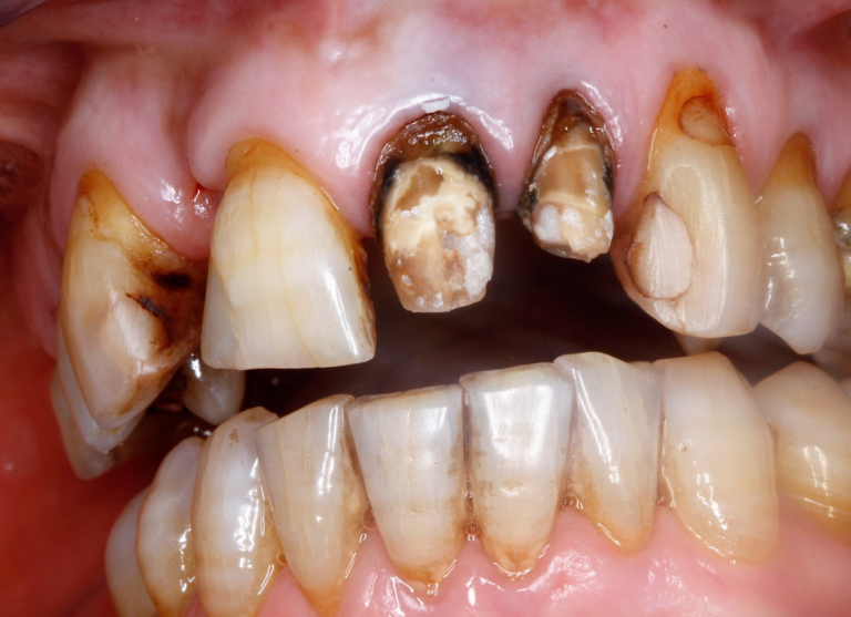
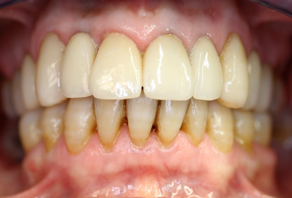
Rehabilitación Oral Integral
Comprendemos profundamente el impacto que la pérdida o el deterioro dental pueden tener en tu calidad de vida.
Ofrecemos un enfoque integral para la rehabilitación oral de tu boca y la colocación de prótesis dentales, diseñado a tu medida para devolverte la confianza y el bienestar que mereces.
