Tratamiento de conductos en manos expertas.
Cuando una caries profunda o una lesión afectan el nervio de un diente, la endodoncia, también conocida como tratamiento de conductos, se convierte en la mejor opción para evitar su extracción y recuperar su funcionalidad.
¿Cómo encaja este procedimiento en una rehabilitación integral de tu boca?
¿Qué es la endodoncia y por qué es fundamental para la salud bucal?
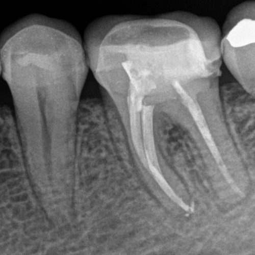
Consta de un tratamiento dental que se centra en la pulpa dental, el tejido blando que contiene los nervios, los vasos sanguíneos y las células conectivas dentro del diente. Cuando esta pulpa se inflama o se infecta, generalmente debido a una caries avanzada, un traumatismo o tratamientos dentales repetidos, experimentas dolor y sensibilidad. Si no se trata, la infección puede extenderse al hueso y los tejidos circundantes, llevando incluso a la pérdida del diente.
¿En que consiste?
Este tratamiento consiste en eliminar la pulpa dañada, limpiar y desinfectar cuidadosamente el conducto radicular y luego sellarlo para prevenir futuras infecciones. De esta manera, el diente se mantiene en su lugar, conservando su función masticatoria, estética y evitando problemas mayores en la boca.
La Endodoncia como parte de la rehabilitación integral.
En Clínica Dental Núñez, la endodoncia no se considera un tratamiento aislado, sino un paso crucial dentro de un plan de rehabilitación integral. Entendemos que la salud de cada diente influye en la armonía y el funcionamiento de toda la boca. Por eso, antes de cualquier procedimiento, realizamos un diagnóstico exhaustivo para evaluar el estado general de tu salud bucodental.
Si una pieza dental requiere una endodoncia, la tratamos con la máxima precisión y cuidado, utilizando las últimas tecnologías y materiales biocompatibles. Una vez que el diente está sano y libre de infección, puede convertirse en la base para otros tratamientos de rehabilitación, como:
– Restauraciones: Después de la endodoncia, es común que el diente necesite una corona o una obturación para recuperar su forma y resistencia.
– Prótesis: Un diente tratado con endodoncia y restaurado adecuadamente puede servir como pilar para soportar puentes o prótesis removibles, reemplazando dientes ausentes.
